Before & After Gallery

Real Smiles, Real Results
See the difference orthodontic care can make. Our before and after photos highlight real patient transformations at Honey Orthodontics in Gurnee, IL, showcasing how Dr. Honey helps create healthier, more confident smiles through personalized treatment.

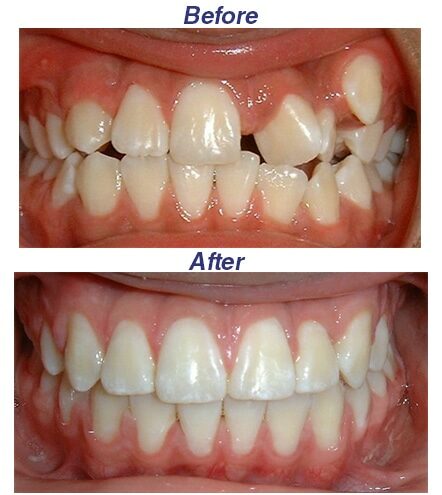
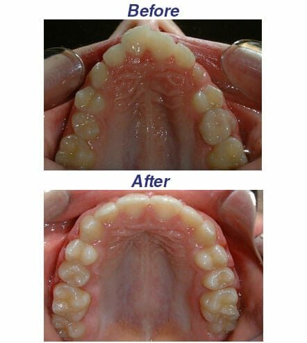
Case 1

Correction of bilateral posterior crossbite with midlines shift in the mixed dentition.

Before and After - Honey Orthodontics in Gurnee, IL.

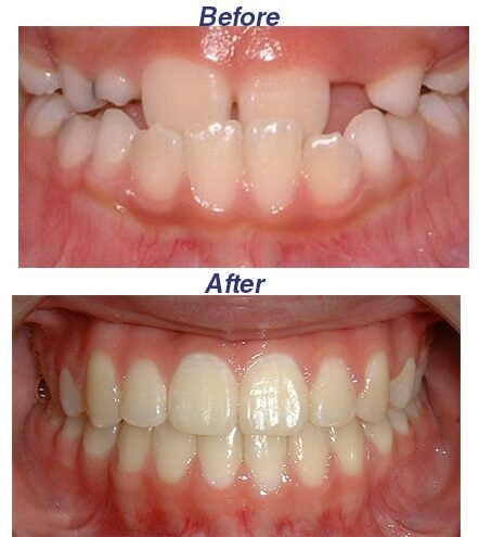
Case 2

Correction of narrow upper arch with lack of proper tooth eruption.

Case 3

Correction of unilateral posterior crossbite with midline shift in the mixed dentition.

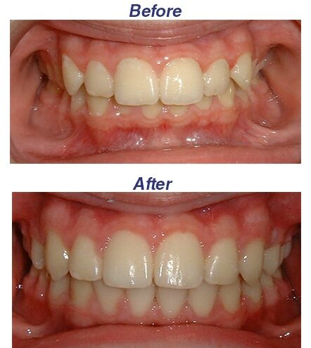
Case 4

Correction of severe crowding, anterior crossbite and ectopic eruption of permanent teeth.

Before and After - Honey Orthodontics in Gurnee, IL.

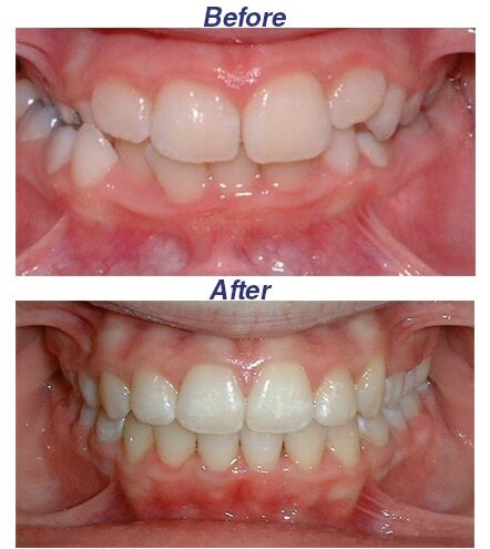
Case 5

Correction of severe overjet and class II bite.

Before and After - Honey Orthodontics in Gurnee, IL.

Case 6

Correction of permanent teeth crowding and class II bite.

Before and After - Honey Orthodontics in Gurnee, IL.

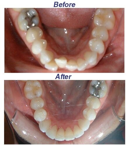
Case 7

Correction of lower arch crowding in the adult dentition.

Case 8

Correction of complete anterior crossbite with enamel wear in the mixed dentition.

Before and After - Honey Orthodontics in Gurnee, IL.

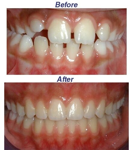
Case 9

Correction of spacing in the adolescent dentition.

Before and After - Honey Orthodontics in Gurnee, IL.

Case 10

Correction of dental crowding and lower midline shift in the mixed dentition.

Case 11

Correction of severe crowding and ectopic eruption of permanent canine teeth.

Before and After - Honey Orthodontics in Gurnee, IL.

Case 12

Correction of posterior unilateral crossbite and blocked out canine.

Before and After - Honey Orthodontics in Gurnee, IL.