Looking for a friendly, modern orthodontist in Downey? At Brace Connection, we help kids, teens, and adults get confident, healthy smiles with braces, Invisalign, and digital orthodontic care. From your first visit, you’ll notice the difference: clear communication, advanced technology, and a team that treats you like family.
Honey Orthodontics is conveniently located in Gurnee, IL, making it easy for families throughout Lake County to access high-quality orthodontic care. Our office is situated near major local roads, allowing patients to reach us quickly from surrounding neighborhoods and nearby communities.
You’ll find our practice close to well-known Gurnee landmarks such as Gurnee Mills, Six Flags Great America, and other popular shopping and dining areas that many local families visit regularly. With clear signage and convenient parking available near the entrance, getting to your orthodontic appointment is simple and stress-free.
Honey Orthodontics proudly welcomes patients from Gurnee and nearby communities, including Waukegan, Libertyville, Grayslake, Lake Forest, Mundelein, and other surrounding areas in Lake County. Whether you’re visiting for your first orthodontic consultation or a routine appointment, our team is committed to making every visit comfortable and convenient for you and your family.

Dr. Oana Honey is a board-certified orthodontist and founder of Honey Orthodontics in Gurnee, IL, dedicated to helping patients achieve confident, healthy smiles. With 10 years of experience, she is known for her gentle approach, attention to detail, and commitment to providing personalized orthodontic care for children, teens, and adults.
Dr. Honey earned her Doctor of Dental Medicine degree and later completed advanced specialty training in orthodontics at the University of Minnesota. She also holds a Master’s Degree in Oral Biology, and her research on Cone Beam CT imaging was published in the American Journal of Orthodontics and Dentofacial Orthopedics. Throughout her career, she has received professional recognition for her academic achievements and commitment to advancing orthodontic care.
In her practice, Dr. Honey focuses on using modern orthodontic technology, including clear aligners, advanced braces systems, and digital treatment planning to provide efficient and comfortable care. Her goal is to create treatment plans tailored to each patient’s needs while delivering beautiful, lasting results.
Outside the office, Dr. Honey enjoys spending time with her husband and four children, exploring the outdoors, and staying active in her community. Dr. Honey believes every smile has a story, and she is passionate about helping patients feel confident in theirs.
At Honey Orthodontics in Gurnee, IL, Dr. Oana Honey offers modern orthodontic solutions for children, teens, and adults. Our treatments are designed to improve both the appearance and function of your smile using advanced technology and personalized care.
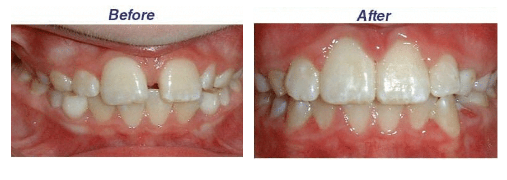
Correction of bilateral posterior crossbite with midlines shift in the mixed dentition.
See the Smile Transformations
See how patients at Honey Orthodontics in Gurnee, IL have improved their smiles with personalized orthodontic care from Dr. Oana Honey. Our before and after results show how treatments like braces and Invisalign can create healthier, more confident smiles.
See what patients are saying about their orthodontic experience at Honey Orthodontics in Gurnee.
Choosing orthodontic care often comes with a few questions, especially if it’s your first time visiting an orthodontist. Below are answers to some of the most common questions patients and parents ask at Honey Orthodontics in Gurnee, IL. If you don’t see your question here, our friendly team is always happy to help.
The American Association of Orthodontists recommends children have their first orthodontic evaluation around age 7. At this stage, Dr. Oana Honey can evaluate how the teeth and jaws are developing and determine whether early treatment or simple monitoring is recommended.
Not at all. While many patients begin treatment during their teen years, orthodontic care is effective for children, teens, and adults. Today’s modern treatment options, including clear aligners and discreet braces, make it easier than ever to straighten your smile at any age.
At Honey Orthodontics, we provide a range of treatment options tailored to each patient’s needs, including:
During your consultation, Dr. Honey will recommend the option that best fits your smile goals and lifestyle.
Yes. We believe everyone deserves access to a healthy, confident smile. Honey Orthodontics offers flexible financing options and payment plans designed to fit a variety of budgets. Our team will review your options and help you find a plan that works comfortably for your family.
Getting started is easy. Simply contact Honey Orthodontics in Gurnee, IL to schedule your consultation with Dr. Oana Honey. During this visit, we will evaluate your smile, discuss treatment options, and answer any questions you may have about your orthodontic journey.